CÉDULA EN LA DIRECCIÓN GENERAL DE PROFESIONES (médico general): 1146192 | AUTORIZACIÓN PARA EJERCER LA ESPECIALIDAD DE GINECO-OBSTETRA DE LA D.G.P. No. AEIE-006714 (cédula federal de especialista) | CÉDULA ESTATAL DE MÉDICO GENERAL: 10736 (12-1) | CEDULA ESTATAL DE GINECÓLOGO (JALISCO): 129 (12-119) E. Actividades Profesionales, Técnicas, Auxiliares y Especialidades. COFEPRIS-02-002-A. Establecimiento: Consultorio Médico Especialista en Ginecología. Ubicación: Guadalajara, Jalisco. Finalizado: 2023-02-08 Tipo de trámite: Alta. Número de ingreso: 2314102002A00015. Acuse de recibo.

¿Cómo detectarlo o diagnosticarlo?

Para diagnosticar la infección por Virus del Papiloma Humano a tiempo se recomienda que todas la mujeres se realicen cada 6 a 12 meses el Papanicolaou para seleccionar a quienes tienen cambios mínimos que sugieran la infección o lesión pre cancerosa, ya que sabemos que dicha técnica puede tener un indice alto de error. Otra opción actual es realizar las pruebas de captura de híbridos para detectar anticuerpos contra el VPH que se aconseja utilizar en mujeres de más de 30 años, ya que muchas mujeres pueden ser positivas sin tener displasias por lo cual requieren de una colposcopia para confirmar la presencia de una displasia cuando salen positivas.

Si se desea tener una seguridad del 95% se utilizará la Colposcopía con citología de canal endocervical donde se examina el cuello de la matriz o útero con un microscopio, de esta manera se pueden identificar cambios del tejido (zonas de infección o con lesión pre cancerosa) de donde se toma una biopsia y se analiza para confirmar los cambios histopatológicos asociados a la existencia de infección por Virus del Papiloma Humano y de esta forma determinar el grado histopatológico de la lesión (Displasia o NIC, precáncer o Lesión Escamosa Intraepitelial de bajo o alto grado, Cáncer In Situ o Cáncer Invasor). Y por lo tanto planear y llevar a cabo el tratamiento correcto para cada etapa de la enfermedad.

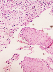
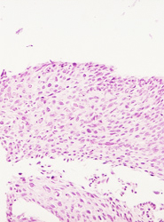
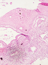
El resultado de una valoración colposcópica de paciente con lesión displásica siempre será confirmado por el estudio histopatológico que realiza el médico anatomopatólogo (estudio de la biopsia tomada en la colposcopía) . A continuación presentamos imágenes histológicas con sus diagnósticos.


  • NIC 1 (Displasia leve de cérvix)
  • Lesión plana por VPH en vulva
  • Lesiones planas por VPH en pene

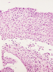
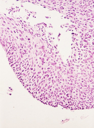
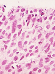
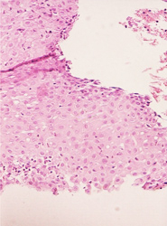
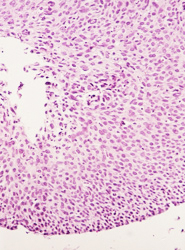
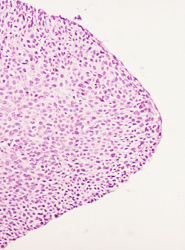
El resultado de una valoración colposcópica de paciente con lesión displásica siempre será confirmado por el estudio histopatológico que realiza el médico anatomopatólogo (estudio de la biopsia tomada en la colposcopía) . A continuación presentamos imágenes histológicas con sus diagnósticos.


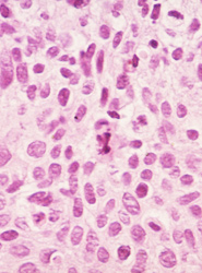
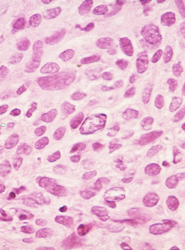
  • Lesion de alto grado, con anisocitosis y anisocariosis severas, perdida de la cohesividad y orientacion celular.

  • Franca anisocitosis y anisocariosis, hipercromasia y varias figuras mitoticas atipicas en el contexto de las celulas neoplasicas.

  • Franca anisocitosis y anisocariosis, hipercromasia y varias figuras mitoticas atipicas en el contexto de las celulas neoplasicas.

  • Cromatina nuclear en grumos gruesos, mal distribuida

  • Anisocariosis severa, cromatina en grumos gruesos, mal distribuida, perdida de la cohesividad celular.

  • Lesión de alto grado, con anisocitosis y anisocariosis severas, hipercromasia nuclear, con algunas células apoptoticas.

  • Células escamosas neoplasicas, con anisocitosis, anisocariosis, severas, con pérdida de la cohesividad y orientación celular.

  • Atipias nucleares severas en una neoplasia intraepitelial cervical de alto grado, llama la atención las células apoptoticas.

  • Anisocitosis y anisocariosis severas, hipercromasia nuclear, perdida de la cohesividad y orientación

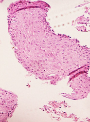
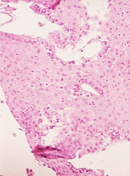
  • NIC I.- Acantosis regular, anisocitosis y anisocariosis leves. Proceso inflamatorio en la lámina propia severo reactivo.

  • NIC I.- No obstante la cariomegalia, la cromatina esta dispuesta en grumos finos.

  • NIC I.- Anisocitosis y anisocariosis leves. Estroma ricamente vascularizado.

  • Lesion de alto grado, con anisocitosis y anisocariosis severas, perdida de la cohesividad y orientacion celular.

  • Franca anisocitosis y anisocariosis, hipercromasia y varias figuras mitoticas atipicas en el contexto de las celulas neoplasicas.


Más información vital para tu salud: