Si Tiene Solución el tratamiento de las lesiones y existe la posibilidad de la eliminación del virus por el sistema inmunológico del paciente. Existen tratamientos para combatir las lesiones del Virus del Papiloma Humano algunos de ellos con alto índice de efectividad pero algunos otros con efectos secundarios peores que la misma enfermedad.
No existe hasta la fecha una antibiótico antiviral efectivo, ya sea de aplicación intramuscular, intravenosa, vía oral o cutánea (gel o pomada) contra el virus del papiloma humano.
Los medicamentos que mejoran el sistema inmunológico como el Interferón local con un costo superior a los 1000 dólares americanos (puede ocasionar dolor en su aplicación y se aplican múltiples inyecciones subcutáneas en los genitales en varias sesiones y con una efectividad real de un 25%) o la crema de Imiquimod al 5% (Aldara) se debe aplicar tres veces por semana durante 16 semanas para obtener una tasa de éxito del 56% (publicada en 1998 en la Reunión Bianual de la ASCCP) con una tasa de recurrencia del 13% (publicada por el mismo laboratorio que fabrica el medicamento en el año 2000) por lo que la tasa real es de un 43% aproximadamente y las 16 semanas de tratamiento en nuestro país tienen un costo aproximado de 5200 pesos.
16 semanas de tratamiento nos dan la mejor tasa de éxito. Este medicamento puede presentar irritación severa en algunos pacientes por lo que debe ser suspendido. Su uso por vía intravaginal no ha sido aprobado hasta el momento por la F.D.A. (Federal Drugs Administration) de los E.U.A.







Se ha utilizado la crema 5 Fluoruracilo al 5% (Efudix) la cual teóricamente en esa concentración solo impide la duplicación del DNA viral pero desgraciadamente en el 30% de los pacientes también impide la duplicación del DNA de la piel donde se aplica lo cual ocasiona úlcera (irritación severa y quemaduras que pueden tardar varios meses en sanar), se debe aplicar dos veces por semana durante 12 semanas, tiene una tasa de éxito real del 60%, actualmente solo es usada debido a la ventaja de ser bajo costo ($400.00 pesos el tratamiento completo) pero ocasiona complicaciones con mucha frecuencia, por lo que debe ser aplicada bajo estricta supervisión y responsabilidad del médico tratante, quien determinará si es necesario suspender dicho tratamiento.




Se requiere de 6 a 12 meses de anticoncepción para que el 5 FU sea eliminado del cuerpo ya que puede ocasionar malformaciones congénitas.
Desde hace muchos años se ha observado que si la piel infectada por Virus del Papiloma Humano (piel con lesiones o infectada) es destruida, se regenera con piel sana y el paciente puede eliminar la infección con una tasa de éxito variable dependiendo del tipo de aparato usado, y de la mejora que se obtenga en el sistema inmunológico de cada paciente.
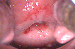
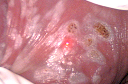
Se han utilizado el electrocauterio y el asa diatérmica para la electrocauterización de las lesiones con una tasa real de éxito muy regular pues existe curación en el 93% de los pacientes, pero el 24% vuelven a presentar las lesiones en menos de 2 años, por lo que la tasa real de éxito es del 69%, y además tienen el inconveniente de ser muy dolorosos ya que no existe un control preciso de la profundidad con la que se destruye la piel por lo que penetran más de 1 mm, y afecta las terminaciones nerviosas, debido a esto los pacientes presentan dolor en los genitales externos, (las mujeres en vulva y los varones en pene) cuando practican deportes que ocasionan fricción en la zona o cuando tienen relaciones sexuales y esto puede durar hasta varios meses. Debido a las secuelas actualmente no se recomiendan dichos procedimientos para tratar los siguientes órganos: vagina, vulva, periné, región peri anal, ano y pene, con lesiones extensas.






La Crioterapia o Criocirugía ha sido utilizada para destrucción de la piel con lesiones del Virus del papiloma humano. Tiene el mismo inconveniente que los aparatos de electrocirugía ya que no mide la profundidad adecuadamente. La tasa de éxito inicial es del 83% con una recurrencia del 28% los primeros dos años. Debido al daño de las terminaciones nerviosas puede ocasionar, hipersensibilidad en los genitales.
Para destruir la piel también se ha utilizado el ácido triclorácetico ya que los dermatólogos lo utilizan para hacer peeling en la cara a un bajo costo, sin embargo los resultados no son adecuados ya que no se puede medir la profundidad de la piel quemada y ocasiona dolor de genitales por varios meses al igual que los aparatos antes mencionados es un producto económico con una tasa de éxito real del 40% pero con frecuencia deja secuelas transitorias con la hipersensibilidad severa que tarda meses en mejorar.



El mejor aparato actualmente que nos permite medir y regular con precisión la profundidad de la piel que se desea destruir o la piel infectada es el LASER CO2, cuando es utilizado por un colposcopista experto,(el cual se adquiere cuando un ginecólogo realiza el entrenamiento en colposcopía por seis meses en una Clínica de Displasias), y capacitación técnica en el manejo del laser CO2. Ya que los tratamientos deben tener una profundidad menor a 1 mm (800 micras máximo) para que no afecten las terminaciones nerviosas y por lo tanto no dejen secuelas. Su aplicación se hace bajo anestesia local por lo que es indolora. Su tasa de éxito es alta, del 89% con recaídas del 8% durante los primeros 2 años. Por lo que actualmente es el mejor tratamiento para el Virus del Papiloma Humano y las lesiones precancerosas de genitales externos, vagina y las lesiones extensas en cérvix, (extensión de lesiones a fondos de saco vaginales). Aclarando que la tasa de éxito depende de la capacitación del médico que lo aplica, existen estudios en que la tasa de éxito es incluso del 50% debido a la mala técnica utilizada.
Además se recomienda mejorar la calidad de vida (control de stress y de ansiedad, práctica de deportes aeróbicos e ingesta de vitaminas antioxidantes en dosis adecuadas, No fumar y en general mejorar hábitos higiénicos) de los pacientes para que esto se refleje en un una mejoría del sistema inmunológico y se elimine del cuerpo la presencia del Virus del Papiloma Humano, formando anticuerpos contra dichos virus. Es importante aclarar que la fase de latencia de esta enfermedad requiere de vigilancia colposcopica periódica (cada 6 a 12 meses) durante varios años ante la posible reactivación de la enfermedad. Sabemos que los pacientes en fase de latencia no tienen riesgo de desarrollar cáncer y muy posiblemente no contagian la enfermedad debido a la muy baja carga viral que tienen algunas células.











