Las pacientes deben ser seleccionadas adecuadamente ya que el 50% de las pacientes con displasia o NIC tienen tejido metaplasico y lesiones precancerosas a una profundidad que varía de 5 a 10 mm. Ya que éste tratamiento solo destruye tejido a menos de 5 mm de profundidad y en una superficie no mayor de 2 cm de diámetro, su tasa de éxito puede ser baja y se corre el riesgo de desarrollar un cáncer oculto del cérvix, si las pacientes no son seleccionadas adecuadamente. Sólo utilizarla en lesiones displasias pequeñas de bajo grado como el NIC 1, que tengan una profundidad de menos de 5 mm, para obtener éxito sin riesgos.
El tratamiento tiene una profundidad máxima de 2-3 mm por lo que es sumamente superficial para el cérvix en donde las lesiones tienen más profundidad. Se utilizó hace 30 años y actualmente es obsoleto cuando las lesiones tienen una profundidad de 4 mm o más.
La eletrocauterización de "úlceras del cérvix" sin una colposcopía es un tratamiento que expone a las pacientes a desarrollar un cáncer oculto.
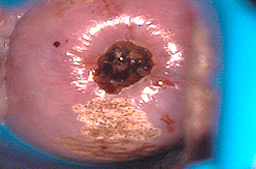
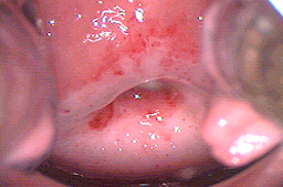
Cuando se utiliza en vagina, vulva y pene puede dar una profundidad mayor de la deseada y ocasionar problemas de cicatrización como se observa en las imágenes, o perforaciones del tejido hacia vejiga y/o recto.
El tratamiento no permite controlar la profundidad del tejido en tratamiento, por lo cual es inapropiado para destruir la zona de transformación y el tejido displásico que se encuentre a una profundidad mayor de 5 mm.
Consiste en la extirpación de un fragmento de cuello utilizando un electrodo con alambre (existen diferentes tamaños y formas) por el cual corre energía eléctrica de alta frecuencia (radiofrecuencia) Cuando es utilizado por un colposcopista experto, se utiliza la potencia de energía adecuada, la velocidad de corte adecuado y se seleccionan las pacientes con lesiones no muy extensas ha dado muy buenos resultados.
Durante el procedimiento puede sentir leves molestias por la transmisión de la energía eléctrica a través del cuerpo.
Se extirpan aproximadamente de 1 a 2 cm de diámetro y a una profundidad de 0.5 a 1 cm utilizando el Láser como bisturí. Ventajas: Nos permite individualizar el tratamiento de cada paciente (tamaño y forma), su tasa de éxito es similar a un cono con bisturí pero con menor reducción en el volumen del cérvix por lo cual tiene menos secuelas y menor sangrado trans-operatorio (coagula los vasos sanguíneos durante el corte), siempre y cuando no se extirpe demasiado volumen y por tanto no se dañen arterias de grueso calibre. Ocasiona menos molestias que la electrocirugía ya que no hay energía que corra por el cuerpo y ocasiona menor daño térmico de los bordes quirúrgicos. Se recomienda ante el riesgo de un cáncer micro invasor oculto en pacientes con NIC 3 que se extiende a canal endocervical. Desventajas: requiere más experiencia, consume mayor tiempo que la electrocirugía y es más costoso.
Se destruye la zona de riesgo a una profundidad que varía de 4 a 10 mm, dependiendo de cada paciente. Las lesiones que se localizan dentro de la zona de transformación requieren hasta 8 mm de profundidad, si se encuentran fuera de la zona de transformación (epitelio con células escamosas maduras de bajo riesgo para el cáncer) se da una profundidad de 4 mm. Lo anterior nos permite destruir la zona de riesgo y las lesiones displásicas periféricas con gran precisión, con la menor reducción de volumen del cérvix y por tanto con mínimo riesgo de secuelas. Se recomienda para lesiones de bajo grado de cualquier extensión o localización y para lesiones de alto grado periféricas (fuera del canal) en mujeres jóvenes. En las lesiones de alto grado que se extienden al canal endocervical se recomienda enviar cono para estudiar la posibilidad de lesiones más graves ocultas (cáncer) y por lo tanto no se deberá fotovaporizar dicha zona del canal. Cuando tenemos una colposcopía insatisfactoria ya que no es visible totalmente la lesión displásica por extenderse al canal endocervical, también se recomienda hacer un cono central para mandar hacer el estudio histopatológico.
Se extirpa el canal endocervical con un diámetro de 1 a 1.5 cm y una profundidad de 0.8 a 1 cm para analizar la zona con posibilidad de cáncer oculto y reducir al mínimo el cérvix, para no ocasionar secuelas. Las lesiones periféricas son destruidas a una profundidad de 4 mm y los bordes quirúrgicos se barren a 1 mm de profundidad en las zonas que ameriten. Este tratamiento es muy útil en mujeres jóvenes que quieren conservar la fertilidad sin complicaciones futuras y que presentan lesiones de alto riesgo (NIC 2 ó NIC 3). También se recomienda en lesiones de bajo grado en pacientes de más de 35 años o en quienes no se puede visualizar completamente la zona de riesgo para cáncer y de ésta forma se analiza completamente dicha zona.
También llamado cono en frío, extirpa gran volumen de cérvix o cuello y provoca sangrado. Puede producir una disminución importante en el volumen final del cérvix que puede afectar la fertilidad y la duración del tratamiento de varias horas y requiere de anestesia regional o general. Las anteriores son las causas por las que ya no se utiliza desde que apareció y está disponible la tecnología moderna. Muy utilizado hace más de 10 años. Actualmente solo se recomienda cuando no se tiene disponible un tratamiento conservador.











